Diseño digital de la sonrisa

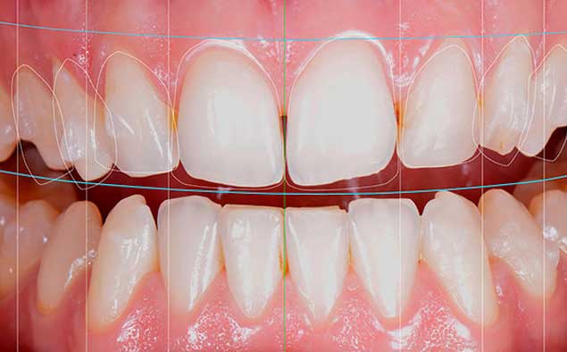
Con el diseño digital de la sonrisa, podemos planificar cada caso de manera individual respetando las características faciales del paciente. A través de una serie fotografías tanto de los dientes como del rostro, con el software de diseño podremos elegir el tamaño, forma, volumen y curva de nuestra nueva sonrisa. Es un elemento muy importante para el paciente con el cual podrá ver el antes y después del tratamiento. Inclusive nos permite la confección de los provisorios que podrán ser probados en boca del paciente garantizando un resultado óptimo. A través del diseño digital de la sonrisa podemos planificar con mayor predictibilidad los casos de mayor complejidad estética.